ORIGINAL ARTICLE |
||
Year : 2020 | Volume : 3 | Issue : 2 | Page : 16-19 | DOI : https://DOI-10.46319/RJMAHS.2020.v03i02.005 |
||
|
||
A case of neonatal ileal atresia with microcolon
Neelaja Patil 1, Rajat Agnihotri 2, Pradeep Patil 3
1&2 Postgraduate, 3 Professor, Department of Radiodiagnosis, D Y Patil Hospital, Kadamwadi, Kolhapur, Maharashtra, India
DOI-10.46319/RJMAHS.2020.v03i02.005
Abstract
Ileal atresia is a congenital bowel malformation in which there is complete stenosis or absence of ileal segment. Ileal atresia usually occurs as a result of vascular insult in second or third trimester of gestation leading to bowel ischemia, narrowing and complete obliteration of bowel segment. A 32 year old pregnant female came for her routine antenatal ultrasound scan at 36 weeks of gestation, which showed dilated fetal distal bowel loops and confirmation was done by postnatal ultrasound and abdominal radiograph. Postnatal barium enema of neonate showed microcolon suggestive of distal small bowel obstruction that is ileal atresia. Surgical findings confirmed ileal atresia.
Key words: Ileal atresia, Microcolon, Congenital bowel obstruction
Introduction
Ileal atresia is common cause of neonatal lower intestinal obstruction, with incidence of 1 in 5000 live births.[1] It is congenital abnormality where there is complete stenosis or absent ileal segment. Small bowel atresia are thought to occur as a prenatal vascular insult to bowel segment secondary to mechanical obstruction or volvulus that usually occurs in second trimester.[2] Vascular insult leads to ischemia of the bowel segment which then becomes necrotic and is reabsorbed leaving atretic segment of variable length with mesentery attached.
There are four types of jejuno-ileal atresia described surgically, but it is not possible to differentiate them by imaging.[3] Antenatal diagnosis of small bowel atresia may be done by ultrasound, findings suggestive are the presence of dilated fluid-filled bowel loops and polyhydramnios. But these findings are nonspecific and the diagnosis is usually not confirmed until birth.[4] Postnatally these cases can present with abdominal distention and failure to pass meconium, neglected cases present with sepsis. Diagnosis is done by evaluation of plain radiographs of the abdomen, contrast enema and ultrasound study.
Case report
A 32 year old pregnant female came for her routine antenatal scan at 36 weeks of gestation whose anomaly scan at 18 weeks of gestation was apparently normal. Antenatal scan at 36 weeks of gestation showed a large segment of dilated bowel loop measuring 10cm in length and 2.25cm in width with normal nondilated stomach and normal amniotic fluid for gestation (Figure 1).

Figure 1: Antenatal ultrasound showing dilated bowel loop
She delivered a male child at 40 weeks of gestation by normal vaginal delivery with no perinatal complications. postnatal ultrasound was done which confirmed antenatal findings of dilated bowel loops of around 10cm in length and 3cm in width, no echogenic material within (Figure 2).

Figure 2: Ultrasound abdomen showing dilated bowel loops without ascites and calcification
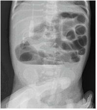
Child didn't pass meconium even after 24 hours, an abdominal radiograph was taken which showed multiple dilated bowel loops with multiple air fluid levels, no rectal gas was seen suggestive of intestinal obstruction, a possibility of meconium ileus or small bowel atresia was kept in mind (Figure 3).

Figure 3: Plain radiograph of the abdomen showing gas filled dilated featureless bowel loops, suggestive of intestinal obstruction with no calcification in the abdomen
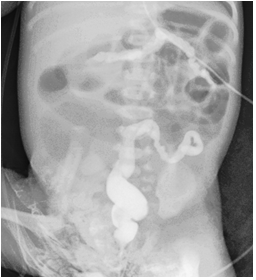
A contrast enema study was done on day 2 using non-ionicwater-solublecontrast to rule out large bowel obstruction and impacted meconium. Contrast study revealed a small calibered featureless colon i.e. microcolon with no filling defects within suggestive of distal small bowel obstruction.(Figure 4)

Figure 4: Contrast enema shows unused microcolon with no filling defects.
In addition, dilated gas filled bowel loops were in the background, suggestive of ileal atresia.
A diagnosis of distal ileal atresia was considered in enema study. The child underwent exploratory laparotomy which revealed atretic distal ileal segment and thickened ileocecal junction with grossly dilated proximal ileum and microcolon (Figure 5).

Figure 5: Intraoperative image showing dilated proximal ileum
Resection of atretic segment with ileoceacal junction was done and terminal segment of ileum was anastomosed with the ascending colon. Procedure went uneventfully and child was shifted to NICU. However, child did not survive due to post-operative complications.
Discussion
Low intestinal obstruction is defined as an intestinal obstruction that occurs in the distal ileum or colon. Differential diagnosis of neonatal lower intestinal obstruction, are ileal and colonic atresia, meconium ileus or peritonitis, Hirschsprung disease, and functional immaturity of the colon. Small bowel atresia's i.e. jejunal, jejunoileal or ileal atresia are common than duodenal or colonic atresia. Most common location being proximal jejunum and distal ilium. Jejuno-ileal atresia constitutes one third of all causes of neonatal intestinal obstruction.[5] There is no gender specificity and boys and girls are equally affected.
Ileal atresia occurs as result of prenatal vascular insult secondary to mechanical obstruction or volvulus of bowel segment that usually occurs in second or third trimester.[2] Thus, initial anomaly scan of foetus can be normal. Vascular insult to bowel segment leads to ischemia which becomes necrotic and is reabsorbed leaving atretic segment of variable length with mesentery attached. Incidence of ileal atresia is about 1 in 5000 live births.[1] A child with ileal atresia present with bilious vomiting, abdominal distention and failure to pass meconium. In neglected cases child may present with perforation, meconium peritonitis and sepsis.
The small bowel atresia is classified into following types based on surgical findings however these types cannot be differentiated on imaging.
1) Type-I- single membranous atresia with continuity of bowel and intact mesentery with no mesenteric defect
2) Type-II- consists of a single atresia with discontinuity of bowel wall
3) Type-IIIA- consists of atresia without connection by a fibrous cord, with a mesenteric gap,
4) Type-IIIB- apple peel deformity or Christmas tree deformity, the intestinal segments are separated as in Type-IIIA and the mesenteric defects are large.[6]
The incidence of various types of atresia is: Type-I-32%, Type-II-26%, Type-III-26%, and Type-IV-17%.[7]
Imaging
Antenatal diagnosis of small bowel atresia may be done by ultrasound, findings suggestive are the presence of dilated fluid-filled bowel loops and polyhydramnios. But these findings are nonspecific and the diagnosis is usually not confirmed until birth.[4] Conventional radiology is the primary imaging modality to diagnose ileal atresia. Plain radiograph of the abdomen demonstrates multiple air fluid levels with non-visualization of rectal gas. The site (jejunal or distal ileal) of the atresia can be suspected by the number and location of gas-filled loops of bowel. Contrast enema shows small caliber feature less colon i.e microcolon which suggests distal small bowel obstruction. There are no filling defects in the microcolon and distended bowel, as in meconium ileus or meconium plug syndrome. Abdominal sonography shows multiple dilated bowel loops with echo poor contents that may be useful in differentiating ileal atresia from meconium ileus. In ileal atresia, the bowel contents are echo-poor while in meconium ileus, the dilated bowel loops are filled with echogenic material.
Conclusion
Antenatally suspected bowel obstruction should be followed up immediately after birth to prevent complications. Antenatal ultrasound, postnatal abdominal radiographs, ultrasound and barium enema are good diagnostic tools in determining level of obstruction. Surgical treatment involves resection of the atretic portion of the intestine with re-anastomosis.
Financial support and sponsorship: Nil
Conflict of interest: Nil
References
1) Hasan Z, Gangopadhyay AN, Srivastava P, Hussain MA. Concavo-convex oblique anastomosis technique for jejuno ileal atresia. J Indian Assoc Pediatr Surg. 2009; 14(4):207-209.
2) Buonomo C. Neonatal gastrointestinal emergencies. Radiol Clin North Am. 1997;35:845.
3) Leonidas JC, Singh SP, Slovis TL. Congenital anomalies of the gastrointestinal tract. In: Kuhn Jerald P, Slovis Tomas L, Haller Jack O (Eds): Caffey's Pediatric Diagnostic Imaging, 10th edition, Mosby. 2004;1:113-62.
4) Donohue V, Twomey EL. The neonatal and non-neonatal gastrointestinal tract. Carty H, Brunelle F, Stringer DA Kazo Simon CS (Eds). Imaging Children, 2nd edition. Elsevier Churchill Livingstone. 2005;2:1305-528.
5) DeLorimier AA, Fonkalsrud EW, Hays DM. Congenital atresia and stenosis of the jejunum and ileum. Surgery. 1969;65(5):819-27.
6) Das PC, Rai R, Lobo GJ. Jejunal atresia associated with idiopathic ileal perforation. J Indian Assoc Pediatr Surg. 2008 ; 13(2):88-89.
7) Pawa S. Developmental Lesions of Gastrointestinal tract. In: Berry M, editor. Paediatric Radiology, 1st edition. Jaypee publication; 1997. p. 11-12.
Address for Correspondence: Dr. Neelaja Patil, Department of Radiodiagnosis, D Y Patil Hospital, Kadamwadi, Kolhapur 416003, Maharashtra, India E-mail: neelajaa.patil@gmail.com

Attribution-NonCommercial-ShareAlike
CC BY-NC-SA

An official peer reviewed publication of
Sri Siddhartha Medical College & Research Centre
Constituent College of Sri Siddhartha Academy of Higher Education
(Deemed to be University u/s 3 of UGC Act, 1956)
Accredited 'A' Grade by NAAC
Tumakuru, Karnataka, India. 572107
Research Journal of Medical and Allied Health Sciences is a medium for the advancement of scientific knowledge in all the branches of Medicine and Allied Sciences and publication of scientific research in these fields. The scope of the journal covers basic medical sciences, medicine and allied specialities, surgery and allied specialities, dentistry, nursing, pharmacy, biotechnology, public health and other branches of the allied health sciences. This journal is indexed with Advanced Science Index(ASI), National Science Library and Open J Gate.

E-ISSN : 2582-080X | : editor@ssmctumkur.org , info@ssmctumkur.org

Attribution-NonCommercial-ShareAlike 4.0 International (CC-BY-NC-SA 4.0)