CASE REPORTS |
||
Year : 2020 | Volume : 3 | Issue : 2 | Page : 24-27 | DOI : https://DOI-10.46319/RJMAHS.2020.v03i02.007 |
||
|
||
Schwannoma of the Sciatic Nerve – A case report
Shaun Cherry Thomas1, G. Gurushankar2, Anand SH3
1Postgraduate, 2 Professor & Head, 3 Associate Professor, Department of Radiodiagnosis, Sri Siddhartha Medical College & Research Centre, Tumakuru, Sri Siddhartha Academy of Higher Education, Tumakuru, Karnataka, India.
DOI-10.46319/RJMAHS.2020.v03i02.007
Abstract
Schwannoma is the most common tumor of the peripheral nerve cells and originates from Schwann cells. Tumors arising from the nerve sheath are solitary and are well-defined. Schwannoma is a nerve sheath tumor that occurs along the peripheral nervous system. It presents as a solid, mobile and painless swelling. Schwannoma is often difficult to diagnose preoperatively. There are a variety of radiological imaging techniques for the assessment of peripheral nerve sheath tumors. The imaging modalities such as Ultrasonography (USG), Computed Tomography (CT) and Magnetic Resonance Imaging (MRI) are useful. Fine Needle Aspiration Cytology (FNAC) is also very helpful for confirming the diagnosis. We are presenting a case report of schwannoma of the sciatic nerve which presented as pain in the left thigh and was diagnosed by various imaging modalities.
Keywords: Ultrasound, Schwannoma, Sciatic nerve.
Introduction
Schwannoma is the most common tumor of the peripheral nerves. It is a benign, well-defined and single peripheral nerve sheath tumor. It accounts for 5% of all the benign soft tissue tumors.[1] Schwannomas are nerve sheath tumors that occur along the peripheral nervous system. They present as solid, mobile and painless swellings. Ultrasound, computed tomography (CT) and magnetic resonance imaging (MRI) are useful imaging modalities in the diagnosis of peripheral nerve sheath tumors.[2]
Case report
A young man presented to the orthopaedic department with complaints of pain in the posterior aspect of left thigh for the past 2 years. The pain gradually increased while walking and climbing stairs. There was no history of injury. Physical examinations appeared to be normal.
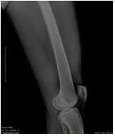
X-ray of the left thigh showed well-defined soft tissue lesion noted on the posterior aspect of lower thigh (Figure 1). There was no calcification, fracture, dislocation and osseous lesion.

Figure 1: X ray of posterior aspect of the lower thigh with well defined lesion
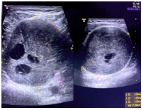
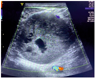
Ultrasound scan (USG) of the soft tissue using a 7-9 MHz transducer (Voluson S Pro 8 GE) of the left leg was performed which showed a 5.5 × 5.0 × 3.5 cm in the posterior aspect of the lower left thigh. The lesion was solid, homogenously hypoechoic and without any calcification. There were a few small cystic changes noted within the lesion (Figure 2). The lesion showed that arterial as well as venous flow and the lesion were separate from the surrounding bone and muscle (Figure 3). The sciatic nerve passed through the lesion.

Figure 2: USG of the left thigh

Figure 3: USG with arterial as well as venous flow
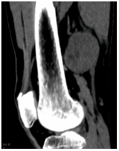
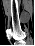
Figure 4: CT showing soft tissue attenuating lesion in the posterior aspect of the lower thigh
A left thigh CT examination (AQUILON GE VOLUSON 16 slice CT machine) showed a soft tissue attenuating lesion which was well-defined, ovoid and size measuring 5.9 x 4.8 x 5.6 cm in the posterior aspect of lower thigh. No intralesional calcifications were noted (Figure 4). There was no extension of the skin, subcutaneous plane, muscular plane and involvement of the bones. Contrast CT study showed homogenous enhancement (Figure 5).

Figure 5: Contrast CT study showing homogenous enhancement

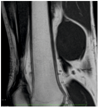
Figure 6: T2 weighted PD fat sat

Figure 7: T1 weighted – showing a hypointense lesion

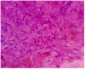
Figure 8: FNAC fibrillary matrix and mild mixed inflammatory infiltrate and RBCs
MRI scan (SIEMENS ESSENZA 1.5 TESLA) was done, which revealed a well circumscribed 5.6 x 4.3 x 5.3 cm mass in the posterior aspect of the left lower thigh appearing to be arising eccentrically from the sciatic nerve. T1 weighted images showed hypointense lesion (Figure 7) and T2 weighted images showed a hyperintense heterogenous lesion with a few cystic areas (Figure 6). Finally, the mass was confirmed to be a peripheral nerve sheath tumor, with the various imaging findings suggestive of schwannoma. The final diagnosis was peripheral nerve sheath tumor.
Fine needle aspiration cytology (FNAC) from the site of the lesion showed moderate cellularity with benign cells in clusters. Cells were spindle to oval with scant to moderate amount of cytoplasm. Background showed fibrillary matrix and mild mixed inflammatory infiltrate and RBCs (Figure 8).
Features were suggestive of benign spindle cell tumor probably of neurogenic origin-Schwannoma was considered.
Discussion
There are two types of peripheral nerve sheath tumors i.e. schwannomas and neurofibromas, which are benign in nature.[2] Schwannoma is a well-defined tumor with capsule called epineurium.[3] Schwannoma is derived from Schwann cells, which coats the neuron.[2] Schwannoma is located eccentrically as it displaces fibres peripherally and the main nerve is not affected.[2] In contrast, neurofibromas will displace nerve fibres peripherally. They infiltrate between the nerve fascicles. They affect superficial nerves and involve the deeper nerves, resulting in nerve deficit. In this case, the peripheral location and non-involvement of the main nerve and the lesion is displacing the proximal and distal branches of the sciatic nerve. Schwannoma is a very slow-growing mass and is often asymptomatic.[2] Symptoms arise due to nerve compression and increase in the size of the tumor. They present as an immobile mass with localized pain and paraesthesia, which is increased by direct percussion of the mass.[3] Schwannoma is commonly seen between the ages of 20 and 50 years, with equal gender predisposition.[2,3] Schwannoma can occur anywhere along the peripheral nervous system in the neck, mediastinum, pelvis, retro-peritoneum, and upper and lower extremities. Size of schwannoma varies, from 5-20 cm in diameter.[3] The preoperative clinical diagnosis of schwannoma is difficult because of its slow growth, mobility and painless nature. Variety of radiological imaging modalities are available for the diagnosis of peripheral nerve sheath tumors.[3] They are helpful in describing the size, shape, location, gross anatomy features, and the tumor relationship with other structures. Ultrasound helps in describing the lesion as well-defined, ovoid, heterogeneous lesion with areas of cystic degeneration and shows posterior acoustic enhancement. In the case of degenerating schwannoma, it shows internal cystic changes.[5] Reports say that schwannomas are often contiguous with the nerve and located eccentrically.[5,6] In this case, the tumor showed areas of cystic degeneration, but the nerve connection and the eccentric location of the tumor were not demonstrated. Increased vascularity and flow on color doppler can be seen in a few patients with schwannomas, as reported by King et al[6] have reported. Vascularity is not a key distinguishing factor in the diagnosis of schwannoma.[4] Color doppler along with compression is very helpful in distinguishing between schwannoma and neurofibroma as obliteration of flow with compression is seen with schwannoma and not with neurofibromas or lymph nodes. CT scan showed a well-defined, ovoid, and soft tissue density mass.[7] MRI scan revealed ovoid and well circumscribed lesion. T1-weighted images, of mass showed iso-intensity to low intensity, whereas the T2-weighted images showed hyperintense and heterogeneous. MRI appearance of the lesion has been described by Sakai et al. [7] Due to the benign nature of schwannoma, the treatment of choice is resection.
Conclusion
Preoperative diagnosis of peripheral nerve sheath tumors is now possible because of the improvement in imaging technology such as ultrasound, CT and MRI imaging modalities. Ultrasound imaging of the peripheral nerve sheath tumor such as schwannoma shows a well-defined, round, heterogeneous lesion with cystic degeneration, eccentric location, and posterior acoustic enhancement is identified in sonography. Cross sectional imaging modalities are very helpful in identifying gross anatomic characteristics, and the relationship of the tumor with other structures, as well as tumor infiltration with surrounding structures. Therefore, these imaging modalities help the radiologists in diagnosing peripheral nerve sheath tumors.
Financial support and sponsorship: Nil
Conflict of interest: Nil
References
1. Kransdorf MJ: Benign soft-tissue tumors in a large referral population: distribution of specific diagnosis by age, sex, and location. AJR Am J Roentgenol 1995;164:395–402
2. Lin J, Martel W: Cross-sectional imaging of peripheral nerve sheath tumors: characteristic signs on CT, MR imaging, and sonography. AJR Am J Roentgenol 2001;176:75–82.
3. Maleux G, Byrs P, Samson I, Sciot R, Baert AL: Giant schwannoma of the lower leg. Eur Radiol 1997;7:1031–1034.
4. Simonovsky V: Peripheral nerve schwannoma preoperatively diagnosed by sonography: report of three cases and discussion. Eur J Radiol 1997;25:47-51.
5. Fornage BD: Peripheral nerves of the extremities: imaging with US. Radiology 1988;167:179-82.
6. King AD, Ahuja AT, King W, Metreweli C: Sonography of peripheral nerve tumors of the neck. AJR Am J Roentgenol 1997;169:1695-98.
7. Sakai F, Sone S, Kiyono K, et al: Intrathoracic neurogenic tumors: MR-pathologic correlation. AJR Am J Roentgenol 1992;159:279-83.
Address for Correspondence: Dr. Shaun Cherry Thomas, Postgraduate, Department of Radiodiagnosis, Sri Siddhartha Medical College & Research Centre, Tumkur 572107. E-mail: shaunmutd@hotmail.com

Attribution-NonCommercial-ShareAlike
CC BY-NC-SA

An official peer reviewed publication of
Sri Siddhartha Medical College & Research Centre
Constituent College of Sri Siddhartha Academy of Higher Education
(Deemed to be University u/s 3 of UGC Act, 1956)
Accredited 'A' Grade by NAAC
Tumakuru, Karnataka, India. 572107
Research Journal of Medical and Allied Health Sciences is a medium for the advancement of scientific knowledge in all the branches of Medicine and Allied Sciences and publication of scientific research in these fields. The scope of the journal covers basic medical sciences, medicine and allied specialities, surgery and allied specialities, dentistry, nursing, pharmacy, biotechnology, public health and other branches of the allied health sciences. This journal is indexed with Advanced Science Index(ASI), National Science Library and Open J Gate.

E-ISSN : 2582-080X | : editor@ssmctumkur.org , info@ssmctumkur.org

Attribution-NonCommercial-ShareAlike 4.0 International (CC-BY-NC-SA 4.0)